Call me back

We’re Accepting New Patients!

Read More Next

Looking for a caring and professional dental practice? We’re excited to welcome new patients to our clinic! Whether you’re due for a check-up, need treatment, or are looking to enhance your smile, our friendly team is here to help.
Contact us today to book your first appointment—we look forward to meeting you!

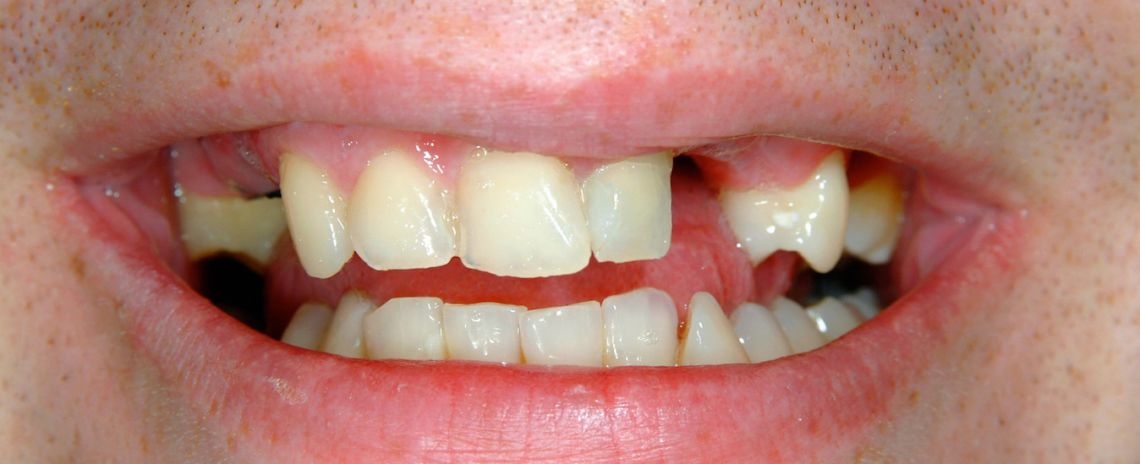
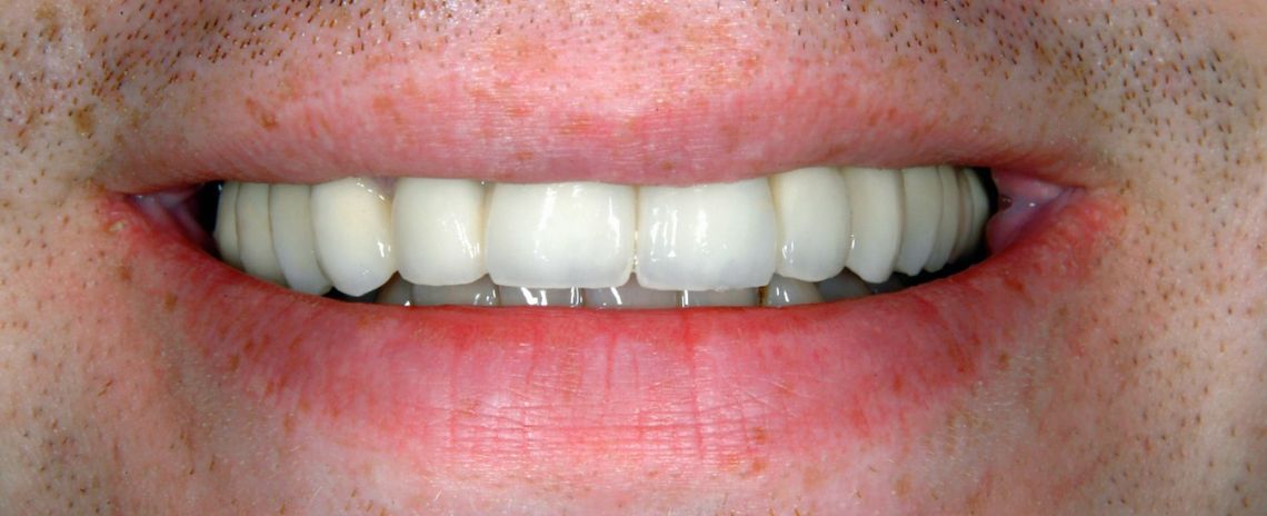
Dental implants

Serving patients throughout Aylesbury and Buckinghamshire

Dental implant treatment can change your life. Whether you’re replacing a single tooth, or a complete smile, dental implants offer secure teeth that feel just like your own, restoring both your smile and your quality of life.

Not only can implants recreate natural-looking teeth, but they also safeguard your overall dental health. Replacing missing teeth is extremely important, as missing teeth cause bone loss which will age your face and could potentially cause adjacent teeth to become loose too.

At Temple Square Dental we can assist with all implant cases, from the simplest to the most complex. Our patients have the peace of mind that they can access progressive technology and benefit from a wealth of experience from our dentist.

What is a dental implant?

Putting it simply, a dental implant is an artificial root made from titanium which is used to take the place of the original root, securely bonding with the jawbone over time. Once the new root has fully healed, which usually takes between 3 to 6 months, this is used to attach replacement teeth in place using crowns, a bridge or a denture. These replacement teeth are carefully crafted to ensure they match your natural teeth, leaving you with a beautiful, natural looking smile.

Types of implants

  • Single implant – implants can be used to replaces a single tooth, restoring your smile with a single implant and crown.
  • Multiple implants – if you have a gap from a few missing teeth, dental implants can be placed to securely fix a dental bridge in place.
  • Full smile restorations – If you are missing a full arch of teeth, or the full set, 4 to 8 implants can be placed to securely attach a denture. Anchoring dentures on dental implants ensure that they do not slip and are comfortable.
Play

Why choose dental implants?

Crowns, bridges and dentures address the short-term cosmetic problem of missing teeth but do nothing to stop bone loss. Crown and bridge dentistry also requires grinding down healthy teeth leaving them at much greater risk for cavities and tooth failure. Dentures become uncomfortable and unstable over time as the jawbone shrinks causing eating and speech problems.

With dental implants, replacement teeth are securely anchored without compromising any neighbouring healthy teeth. Dental implants, like natural teeth, stimulate the jaw and stop bone loss.

Dental Implants Components

The benefits of implants

  • Implants look and feel just like natural teeth – you shouldn’t notice any difference.
  • Implants provide permanent stability and comfort without affecting healthy teeth.
  • Implants won’t come loose or fall out.
  • Implants can last for many years if you maintain good oral hygiene.
  • Implants prevent ageing bone loss, by stimulating your bone structure and stabilising the surrounding teeth.

Are you suitable for treatment?

Patients must have healthy gums and enough jawbone to support dental implants. At your initial consultation our dentist will use x-rays and scans to establish if pre-treatment is required and will explain this further.

Some patients may need to see a hygienist for a course of treatment to ensure their gums are strong and healthy before the dental implant process can begin. our dentist will also check that there is sufficient bone for an implant to be placed successfully at this initial consultation. If there is insufficient bone you may need to need pre-treatment before your dental implants can be placed. This may include oral surgery procedures such as bone grafting, bone expansion or sinus lifts.

Book a consultation with our dentist today to find out more about how dental implants could change your life!

Meet the team

Dr Prab Morgan

Lead Clinician

GDC NO. 75053

Dr Aaron Landau

Dentist

GDC NO. 230576

Previous
Next
Patient Reviews

People are talking about us

The biggest complement we receive is when our patients refer their friends and family to Temple Square Dental. In fact, we have built much of our practice on these valued, trusted recommendations over the years. Read our reviews to hear why our patients are recommending us…

Patient reviews

1354 Reviews

5.0

28th February 2026

Been going to temple square for many years service always been great and the team are very professional. Never have any problems when using temple square

28th February 2026

I have been visiting prab for more the 20 years ,she is excellent dentist so kind and caring considering im a nervous person when it come to dental visits.

28th February 2026

From reception staff to the dentist every one was kind polite and very easy to deal with. I had always feared dentistry but they make it so easy .

26th February 2026

All the staff are friendly and welcoming. I see Dr Prab Morgan, I am a nervous patient but have total confidence in Prab, she is patient, kind, explains everything and has transformed my smile

26th February 2026

Very friendly people always happy to see me

22nd February 2026

I have been a patient for many years and the service was smooth and seamless.I arrived a little early and was greeted by friendly staff members and was made to feel comfortable.

SM

Sophie M

I hate admitting this, but I hadn’t been to the dentist for 16 years because of fear. It kept slipping further and further down my priority list.<br><br>From my very first visit, Sarah was amazing. She talked me through my initial consultation and scans, and when I told her how nervous I was, she immediately put me at ease. Then I met Dr Lakin, who was calm and reassuring from the very first moment. He explained everything clearly and never made me feel rushed or judged. At my follow-up appointment for a filling (which I was honestly petrified about because of my fear of needles) he was incredibly patient. He used numbing cream first, explained each step, and I genuinely didn’t feel a thing. I could have fallen asleep! I didn’t catch the name of the dental nurse, but she was also so calm and reassuring throughout.<br><br>A big thank you as well to Mariah the hygienist and all the lovely reception staff - every single person I’ve met has been warm, friendly, and supportive.<br><br>I honestly can’t recommend this practice enough. It’s the friendliest medical team I’ve ever come across and absolutely perfect for anyone who feels nervous or has avoided the dentist for years like I did.<br><br>100/10 ⭐

15th February 2026

Great service. Nice and friendly people.

13th February 2026

Staff are always so friendly and give you the time you need. Explanations of anything required is always well explained

11th February 2026

Really great dentist surgery, our dentist is great and listens to concerns I have for my children’s teeth. Definitely wouldn’t go anywhere else.

10th February 2026

Knowledgeable helpful and cheerful reception staffThe dentist and the dental nurse were both very kind and made me feel very relaxed and confident with their ability

ZB

Zac Bartley

I can’t recommend Jackie highly enough. I’ve had really bad dental experiences in the past, especially with anaesthetic not working properly. Previously I was injected multiple times, could still feel pain while drilling, and was even questioned about whether it was “just pressure”. It got to the point where I had to be sedated for treatment at a huge cost, so understandably I was extremely anxious going into this appointment. From the moment I sat down, Jackie was calm, reassuring, and confident. She listened properly, took my concerns seriously, and explained everything clearly. She told me she’d never had an issue getting patients numb, even those who’ve had problems before. She was absolutely right. Just two injections, a short wait, and I felt nothing at all for the entire procedure. It was genuinely the best dental experience I’ve ever had, and I was honestly blown away by how smoothly it went. Jackie completely changed how I feel about dental treatment. Professional, kind, reassuring, and incredibly skilled. I’m so grateful I was treated by her.

9th February 2026

I have been coming to Temple Square for over 30 years, since I was a child, and wouldn’t go anywhere else. I trust that the team have my best interests at heart and they always do a good job.

8th February 2026

Managed to get a same day appointment for a broken tooth. Tooth was filled and possible further treatment explained clearly.

7th February 2026

Everybody is professional, polite and friendly

SS

Stephan Smith

I recently became a patient in January and Jacqui is my dentist. When I first came in for a checkup I did mention I have ASD and ADHD. During my checkup everything was explained in a way I understood it and showed my x-ray. I needed five fillings, wisdom teeth removed and a mouth splint. The original treatment plan had my fillings split up and wisdom teeth to be pulled at a later date. I asked if I could get all my fillings in one go which Jacqui did mention the whole top of my mouth would be numb but I said it was fine. I saw the hygienist on Monday, Lucie, who is lovely. Introduced herself and explained the process and showed me how to clean between my teeth as I’ve not been shown before. Yesterday I had my fillings done. Throughout the process I was checked in on to make sure I was alright. I was allowed a bathroom break as it was going to be a two hour appointment. Any questions that I had were answered. I did mention my right wisdom tooth hurting and Jacqui mentioned I could get them pulled at the same time so I went with that option. The aftercare was explained very well and the pack I was given was written in simple steps. My last dentist I was shamed about my teeth as I needed one filling (back in 2019). Jacqui and Lucie had no judgements and instead focusing on keeping my teeth healthy. I couldn’t ask for a better dentist and dental practice. I felt listened to and not ashamed not knowing stuff about my teeth. Private is expensive and there is a payment plan offered but honestly for me it’s worth the cost as you cannot put a price on an excellent, friendly and professional dentist. I would 100% recommend this dentist, especially for anxious patients or those with neurodivergent conditions.

3rd February 2026

I have special needs (Autism and ADHD are the main ones). The hygienist was extremely friendly and explained everything she was doing. She checked in with me frequently to see if I was alright. She was very friendly during my appointment and didn’t shame me about my gums, instead gave me suggestions/ recommendations.

29th January 2026

I felt I was in safe hands. Every step was explained to me and I was regularly asked if I was OK. The staff were very attentive ad gave me opportunities to ask questions before and after the treatment. The aftercare was clear and explained verbally and in writing and the follow up call the next day was reassuring. I know I can ring at any time if I'm concerned about anything

28th January 2026

Both Lucie and Prab, as always, were excellent.

SM

Swagata Mukherjee

The team at Temple Square Dental surgery were so helpful today. I took my mum for an appointment and Prab Morgan and Lisa were so accommodating as my mum has mobility issues so manoeuvring the wheelchair through the practice was challenging but they helped make it as easy as possible. Also a huge thanks to Amber at Reception who was super helpful with the wheelchair and helping me when we were leaving. Much appreciated.

Prev Previous
Next Next

Why choose us?

Five Star Customer Service

Five Star
Customer Service

Invisalign Provider

Invisalign
Provider

State Of The Art Facilities

State Of The
Art Facilities

Leading Dental Care

Leading
Dental Care

Multi Award Winning

Multi Award
Winning