Call me back

We’re Accepting New Patients!

Read More Next

Looking for a caring and professional dental practice? We’re excited to welcome new patients to our clinic! Whether you’re due for a check-up, need treatment, or are looking to enhance your smile, our friendly team is here to help.
Contact us today to book your first appointment—we look forward to meeting you!

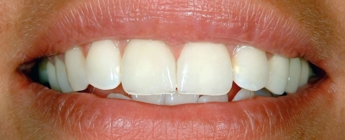
Smile gallery

Filter

 Bite Concerns Teeth Straightening Before  Bite Concerns Teeth Straightening After

Bite Concerns Teeth Straightening

 Composite Bonding and Whitening Before  Composite Bonding and Whitening After

Composite Bonding and Whitening

 Crown Before  Crown After

Crown

 Crowns and Veneers Before  Crowns and Veneers After

Crowns and Veneers

 Gum Disease Clean Before  Gum Disease Clean After

Gum Disease Clean

 Hygiene Clean Before  Hygiene Clean After

Hygiene Clean

 Implant Denture Before  Implant Denture After

Implant Denture

 Teeth Straightening, Sculpting and Composite Bonding Before  Teeth Straightening, Sculpting and Composite Bonding After

Teeth Straightening, Sculpting and Composite Bonding

 Teeth Straightening and Whitening Before  Teeth Straightening and Whitening After

Teeth Straightening and Whitening

 Teeth Whitening Before  Teeth Whitening After

Teeth Whitening

 Whitening and Crowns Before  Whitening and Crowns After

Whitening and Crowns

There are no stories matching your selection. Please try again.