Smile Makeover Event – Invisalign® & Composite Bonding Save up to £600!
Posted on October 17 by Vanessa Sharp
Join us for a dedicated Smile Makeover Week focused on creating confident, natural-looking smiles.
Whether you want to straighten your teeth with Invisalign or enhance your smile’s shape and brightness with Composite Bonding, our expert team will guide you through your options.

For New & Existing Patients


Perfect For:
✅ Straightening, refining, or brightening your smile
✅ Subtle smile makeovers with lasting results
✅ Patients seeking expert, minimally invasive care

Register Today – Limited Slots Available
Appointments for this event are limited. To secure your exclusive savings and begin your journey to a straighter smile, register now or give us a call.
Register Now
About The Treatments
Composite Bonding
-
Add tooth-coloured material to reshape or refine your teeth.
-
Usually no drilling, no injections, and instant results.
-
Half-price whitening offer with bonding cases at the event.
Perfect for: Chips, uneven edges, small gaps or shape enhancements.

Invisalign® Clear Aligners
-
Straighten teeth discreetly with nearly invisible aligners.
-
Remove easily for eating and cleaning.
-
Clinically proven, digitally planned results.
-
Includes a free smile simulation and free whitening at the event.
Perfect for: Crowding, gaps, bite alignment and subtle smile transformations.

Invisalign from just £74.39 per month*
We offer a range of finance options available including 0%
*Finance is subject to application and status. Terms and conditions apply. £74.39 per month representation based on a loan of £3,500 over 60 months at 14.9% APR.
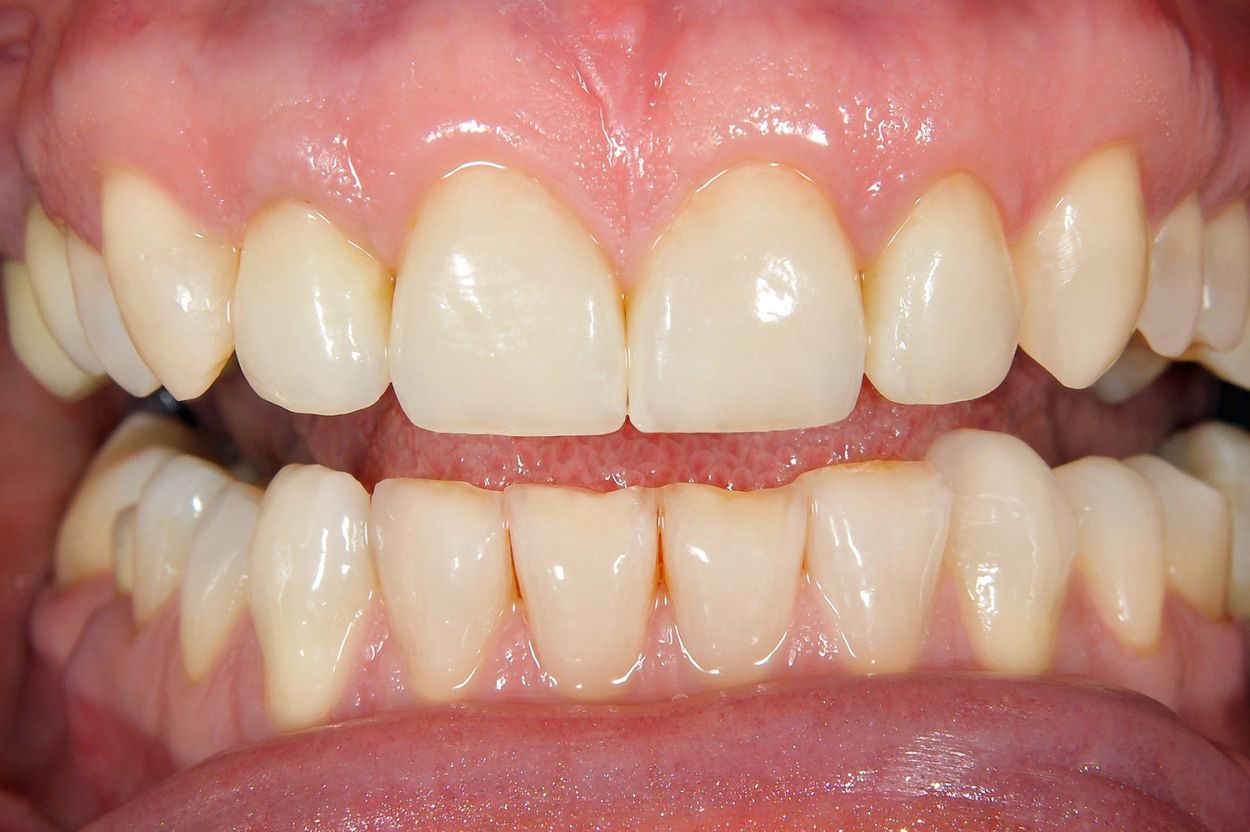
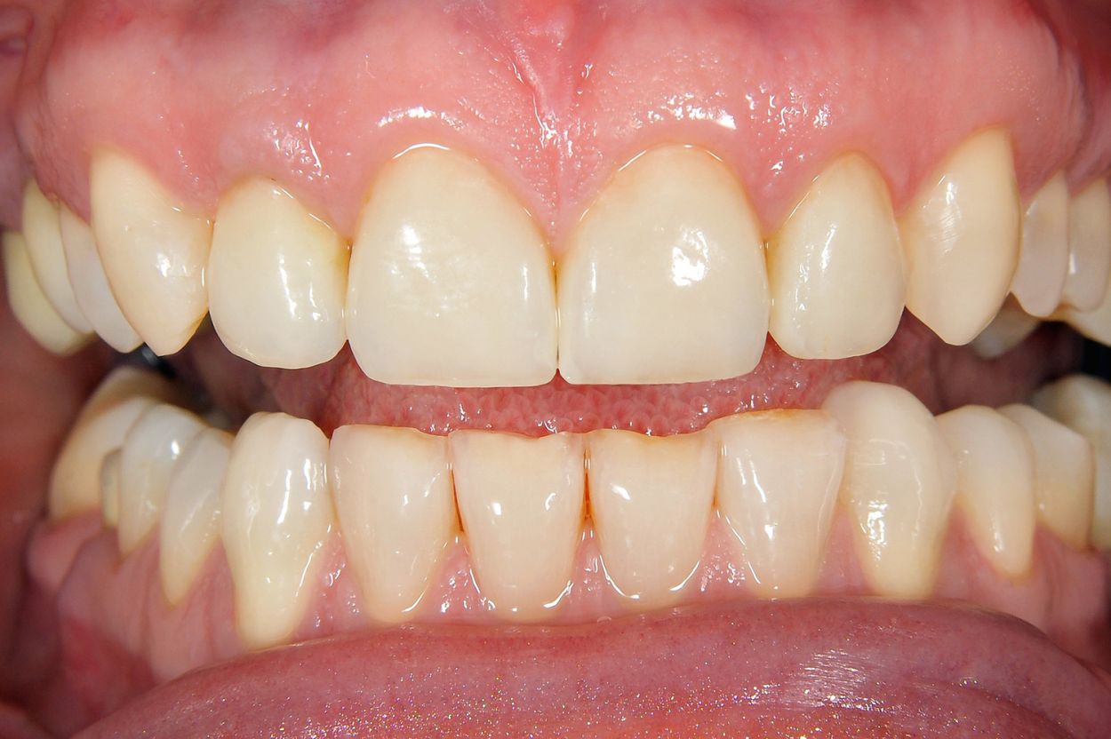
Smile Makeover Gallery




Meet the team
FAQS
What is a Smile Makeover?
A Smile Makeover combines one or more cosmetic dental treatments to enhance the appearance, symmetry, and confidence of your smile. At Temple Square Dental, our smile makeovers typically include Invisalign, composite bonding, and professional whitening — each plan is fully tailored to your needs.
Who is suitable for a Smile Makeover?
Most adults with healthy teeth and gums can benefit from a smile makeover. It’s ideal for those with crooked, uneven, discoloured, or chipped teeth who want a straighter, brighter, and more harmonious smile.
How long does treatment take?
Treatment time varies depending on the complexity of your case. Invisalign can take a few months to complete, while whitening and bonding can often be completed in just one or two appointments. Your dentist will create a personalised timeline at your consultation.
Will it look natural?
Yes. Our approach focuses on subtle, natural enhancement — refining the shape, shade, and alignment of your teeth while maintaining your individuality. The goal is a confident, natural smile that feels like you.
Is the treatment painful?
No. Most smile makeover treatments are non-invasive or minimally invasive. You may experience mild sensitivity with whitening or pressure during Invisalign movement, but discomfort is temporary and easily managed.
Can I spread the cost?
Yes. We offer flexible 0% finance options to help make your dream smile achievable and affordable.
We use the latest technology to deliver straighter smiles with comfort, discretion, and precision. Results can be achieved in as little as 3 to 6 months, depending on your complexity of movement required.
Clear aligners comfortably straighten your smile with discretion, precision and ease.
Using tooth-coloured filling material we carefully lengthen or re-shape front teeth, closing gaps and evening out surfaces to renew your smile.
Offer is only valid for those who attend a consultation on our event from 17/11/25 to 21/11/25. The offer is available to both cash and finance patients. Credit is subject to status. Finance is supplied by Tabeo. Results may vary. Treatment is subject to suitability which will be confirmed by the Dentist. Teeth whitening is only for patients that are going ahead with treatment (either composite bonding or Invisalign). No items from the package can be removed or changed. Treatment must start within 6 weeks of open day.